- THẨM MỸ VÀ PHỤC HÌNH
- Dán Veneer sứ thẩm mỹ
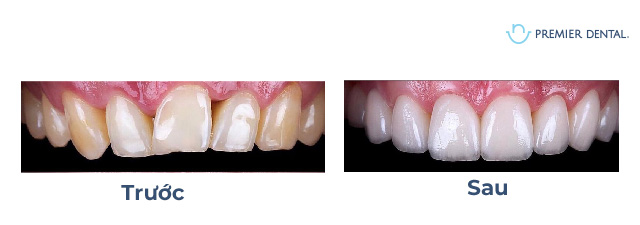
DÁN VENEER THẨM MỸ
Dán sứ Veneer lựa chọn hoàn hảo giúp bảo vệ răng, mang lại nụ cười đẹp dưới mọi góc nhìn. Công nghệ làm răng sứ thẩm mỹ tân tiến nhất của Đức, giúp hoàn thiện trong vòng 1 ngày, sử dụng trọn đời và không xâm lấn, lá chắn bảo vệ đến răng thật.
Dán sứ Veneer thẩm mỹ là gì?
Dán sứ Veneerthẩm mỹ là công nghệ làm đẹp răng được nhiều khách hàng lựa chọn thực hiện hiện nay nhờ vào các ưu điểm nổi bật như ko thương tổn răng thật, cho hàm răng đẹp tự nhiên với kết quả duy trì dài lâu.
Vài năm trở lại đây phương pháp dán sứ Veneer đã không còn xa lạ với nhiều người, nhất là khi nó được các ca sĩ, diễn viên, các gương mặt hot face lăng xê hết mức. Đây là phương pháp có thể giúp bạn sở hữu hàm răng đẹp nhanh chóng và an toàn bằng cách dán miếng sứ siêu mỏng (khoảng 0,03 – 0,08 cm) lên bề mặt răng, khắc phục một số khiếm khuyết răng, cho bạn nụ cười đẹp tự nhiên hoàn hảo.

Dán Veneer là phương pháp giúp bạn sở hữu nụ cười đẹp nhanh chóng mà không cần mài răng
Dán sứ Veneer thẩm mỹ phù hợp với ai?
Mặt dán sứ Veneer công nghệ Đức phù hợp với trường hợp làm răng sứ thẩm mỹ, bảo vệ răng và là bí quyết cho những nụ cười đẳng cấp.
- Răng bị sứt, mẻ nhỏ.
- Răng bị thưa hoặc hô, không đều nhẹ…
- Răng bị xỉn màu, ố vàng nặng, răng nhiễm kháng sinh không thể phục hồi bằng tẩy trắng.
- Mặt răng không không nhẵn bóng hoặc hao mòn trong quá trình ăn nhai.
- Ngại mài răng và sợ ê buốt như khi thực hiện bọc răng sứ
Dán sứ Veneer thẩm mỹ là lựa chọn phù hợp với các đối tượng có tình trạng khiếm khuyết răng sau:
- Răng bị nhiễm màu nặng, không thể khắc phục bằng phương pháp tẩy trắng thông thường.
- Răng bị mẻ với diện tích nhỏ.
- Răng thưa, răng khấp khểnh, hô nhẹ.
- Đặc biệt, dán Veneer thẩm mỹ rất phù hợp cho những ai ngại mài răng và sợ ê buốt như khi thực hiện bọc răng sứ.
Dán sứ Veneer hiệu quả với hầu hết răng sai lệch và nhiễm màu nặng

Khách hàng dán sứ Veneer tại Premier Dental
Ưu nhược điểm mặt dán sứ Veneer
Ưu điểm:
- Mặt dán sứ Veneer hạn chế tối đa việc mài răng, bảo vệ răng thật.
- Kết cấu siêu mỏng 0,03m – 0,08 cm giúp hình thể như răng thật,
- Rút ngắn thời gian chỉ từ 1-3 ngày, không mất nhiều thời gian tái khám.
- Dán sứ Veneer sử dụng trên các chất liệu toàn sứ cao cấp nhập khẩu Đức, thích ứng nhanh và tuổi thọ sử dụng dài nhất hiện nay.
Nhược điểm:
- Kĩ thuật làm răng tương đối khó nên đòi hỏi Bác sĩ phải có tay nghề cao, sử dụng công nghệ hiện đại.
- Chi phí cao hơn các loại răng sứ thông thường.
- Đạt hiệu quả thẩm mỹ cao nhất trong các trường hợp răng thưa, hô, sứt mẻ nhẹ hoặc trường hợp răng nhiễm kháng sinh
Vì sao dán Veneer thẩm mỹ tạo nên cơn sốt làm đẹp răng trong suốt thời gian qua?
Ngay từ khi xuất hiện dán Veneer thẩm mỹ đã nhanh chóng tạo nên cơn sốt và cho đến bây giờ vẫn chưa có dấu hiệu hạ nhiệt. Lý do là bởi phương pháp này có rất nhiều ưu điểm nổi bật so với các kỹ thuật thẩm mỹ răng khác:
- Không mài răng, không thương tổn răng thật: Khác với “người anh em” là kỹ thuật bọc răng sứ, dán Veneer thẩm mỹ tuy đòi hỏi kĩ thuật cao hơn nhưng lại không hề gây ra bất kì thương tổn nào đến răng thật vì nó hạn chế tối đa khâu mài răng. Bác sĩ chỉ mài rất ít bề mặt răng sau đó dán miếng dán sứ vào là bạn đã được một hàm răng đẹp tự nhiên không thua gì các sao.
- Không gây ê buốt: Vì hạn chế tối đa việc mài răng, không tác động đến khớp cắn giúp dán Veneer thẩm mỹ không gây ê buốt, sau khi thực hiện bạn có thể ăn uống bình thường, không có cảm giác khó chịu.
- Thời gian thực hiện nhanh chóng: Không như phục hình răng sứ phải trải qua nhiều lần hẹn gặp, dán sứ Veneer thẩm mỹ rút ngắn thời gian thẩm mỹ răng, tiện cho những khách hàng có công việc bận rộn, ít có thời gian đến thăm khám.
- Răng tự nhiên như thật, duy trì kết quả dài lâu: Vật liệu phục hình là răng toàn sứ, sử dụng công nghệ hiện đại nên sau khi dán mặt dán sứ Veneer bạn sẽ sở hữu hàm răng đều, đẹp, trắng sáng tự nhiên hoàn hảo không thua gì các ca sĩ, diễn viên. Bạn cần thực hiện tốt các khâu chăm sóc theo chỉ định bác sĩ thì thời gian duy trì của kỹ thuật này sẽ dài lâu.

Dán Veneer được nhiều người lựa chọn nhờ vào các ưu điểm nổi bật về tính thẩm mỹ và sự an toàn, dù chi phí của nó khá cao
Làm sao để chọn được địa chỉ dán Veneer thẩm mỹ uy tín?
Dán Veneer thẩm mỹ có những đòi hỏi kĩ thuật cao, đi cùng đó là chi phí cũng không hề rẻ vậy nên khi lựa chọn nơi thực hiện bạn nên lưu ý kĩ một số điều sau:
- Chọn địa chỉ nha khoa uy tín, được Bộ y tế cấp phép hoạt động.
- Địa chỉ nha khoa có đội ngũ bác sĩ giỏi, vững tay nghề trong lĩnh vực phục hình răng sứ.
- Địa chỉ dán Veneer thẩm mỹ phải được trang bị máy móc hiện đại, đáp ứng các yêu cầu kĩ thuật khắt khe của phương pháp này.
- Vật liệu sứ phải đảm bảo nguồn gốc rõ ràng.
- Hãy lựa chọn địa chỉ có chế độ chăm sóc khách hàng chu đáo, chế độ bảo hành dài lâu.
Quy trình dán Veneer thẩm mỹ chuẩn quốc tế tại Nha Khoa Premier

Dựa vào những tiêu chí lựa chọn địa chỉ dán Veneer thẩm mỹ trên, bạn có thể đến với Premier Dental – Địa chỉ chăm sóc phục hình răng thuộc top 5 nha khoa tốt nhất Việt Nam. Quy trình thực hiện bài bản tại đây sẽ giúp bạn hiểu tại sao khách hàng lại tin tưởng lựa chọn chúng tôi.
Bước 1: Đầu tiên bác sĩ sẽ xem xét cẩn thận tình trạng răng miệng của bạn và sẽ tiến hành điều trị triệt để các bệnh lý hiện có trước khi dán sứ Veneer. Sau khi phân tích khớp cắn, tỷ lệ khuôn mặt…bác sĩ sẽ tiến hành tư vấn cho bệnh nhân giải pháp và lộ trình để họ cảm thấy thoải mái và hợp tác với bác sĩ trong suốt quá trình điều trị.

Bác sĩ thăm khám, xem xét tình trạng răng miệng của khách hàng và đưa ra những lời khuyên cụ thể trước khi tiến hành dán sứ Veneer
Bước 2: Để tránh tình trạng gây hôi miệng khi dán sứ thì bác sĩ sẽ tiến hành vệ sinh, làm sạch khoang miệng cho bạn. Quy trình này được thực hiện với các dụng cụ hấp sấy vô khuẩn đạt chuẩn an toàn của nha khoa.

Khách hàng được vệ sinh răng miệng sạch sẽ trước khi tiến hành dán sứ
Bước 3: Để việc dán sứ Veneer được tiến hành thuận lợi và miếng dán bám vào răng chắc chắn. sau khi tiến hành gây tê bác sĩ sẽ xử lý bề mặt răng bằng cách mài nhẹ mặt trước của răng khoảng 0.5mm. Việc mài răng được thực hiện bởi đội ngũ bác sĩ giỏi và dày dạn kinh nghiệm nên không gây đau, không để lại hậu quả ê buốt sau thực hiện, răng thật được bảo tồn không thương tổn nhiều.

Dán sứ Veneer tại Premier Dental được thực hiện bởi đội ngũ bác sĩ giỏi và dày dạn kinh nghiệm
Bước 4: Nha Khoa Premier sẽ đo đạc, lấy mẫu răng và gửi về phòng Labo chế tác. Khách hàng sẽ có 3-5 ngày chờ để tiến hành dán răng sứ Veneer lên bề mặt răng
Bước 5: Việc dán Veneer thẩm mỹ tại Nha Khoa Premier được tiến hành bởi đội ngũ bác sĩ có kinh nghiệm dày dạn và chuyên môn sâu. Kết hợp với đèn laser các miếng dán sứ sẽ được dán khít sát nhẹ nhàng lên bề mặt răng cho khách hàng hàm răng trắng đẹp. Sự kết hợp giữa kỹ thuật nha khoa và thẩm mỹ của bác sĩ trong việc điều chỉnh cung hàm, lợi, răng giúp bạn có nụ cười đẹp hoàn hảo ở mọi góc độ.

Dán sứ Veneer tại Premier Dental sẽ cho bạn nụ cười đẹp hoàn hảo, tự nhiên như thật
Một số thắc mắc của khách hàng khi thực hiện dán Veneer thẩm mỹ
Dán sứ Veneer thẩm mỹ duy trì kết quả được bao lâu?
Việc duy trì kết quả dán sứ Veneer phụ thuộc vào nhiều yếu tố như: Vật liệu sử dụng, tay nghề bác sĩ, kỹ thuật thực hiện, chế độ chăm sóc sau khi dán sứ. Nếu đảm bảo tốt các yếu tố này thì thời gian duy trì có thể lên đến 8-10 năm.
Giữa dán sứ Veneer và bọc răng sứ nên chọn kỹ thuật nào?
Tùy vào tình trạng khiếm khuyết răng mà bạn sẽ lựa chọn dán sứ Veneer hoặc bọc răng sứ. Nếu răng bạn khiếm khuyết nhẹ (răng thưa, răng khấp khểnh, răng hô nhẹ, răng xỉn màu…) thì dán sứ là giải pháp đơn giản và hiệu quả nhất. Còn nếu răng bạn hô nhiều, răng bị vỡ miếng lớn thì chỉ có bọc răng sứ mới có thể cho hiệu quả tối ưu.
Dán sứ Veneer có tốt không?
Dán sứ Veneer là công nghệ hiện đại nhất hiện nay, ngoài ý nghĩa giúp mang lại hàm răng trắng đẹp tự nhiên còn có vai trò là các màng chắn bảo vệ răng thật.
Sao giá dán sứ Veneer lại cao?
Răng sứ Veneer đòi hỏi công nghệ hiện đại và kỹ thuật bác sĩ cao trong quá trình thực hiện. Đồng thời, Răng sứ Veneer sử dụng nguyên liệu sứ cao cấp, nhập khẩu nguyên chiếc nên giá của răng sứ Veneer cao hơn các loại sứ thông thường.
Dán sứ Veneer có đau không?
Dán sứ Veneer hạn chế tối đa việc mài răng, đồng thời trong quá trình thực hiện có hỗ trợ của công nghệ gây tê, kiểm soát cơn đau hiện đại, nên khách hàng hoàn toàn không có cảm giác đau trong quá trình thực hiện.