Răng khôn mọc “dại” không chỉ khiến khiến bạn cảm thấy khó chịu mà nó còn dẫn đến nhiều bệnh lý răng miệng nguy hiểm. Vậy cụ thể nó có thể mang lại biến chứng gì? Cùng tìm hiểu với Nha Khoa Premier trong bài viết dưới đây nhé.
Răng khôn (răng số 8 hay răng cối lớn thứ 3) là răng mọc cuối cùng trong miệng và mọc cuối cùng trong độ tuổi xương hám đã ngừng tăng trưởng và phát triển. Răng khôn sẽ phát triển từ khoảng 18 đến 30 tuổi. Tuy nhiên không phải ai cũng mọc răng khôn. Thời gian mọc răng có thể kéo dài vài tháng. Thậm chí vài năm mới mọc hết răng khôn.

Diện tích xương hàm chỉ đủ chỗ cho 28 cái răng (mỗi hàm có 14 răng). Do đó, răng khôn thường thiếu chỗ để mọc. Điều nay dẫn tới tình trạng mọc lệch hoặc mọc không hoàn thiện, gây nên nhiều biến chứng nguy hiểm.
Sở dĩ được gọi là răng khôn, bởi nó được mọc khi chúng ta đã trưởng thành.
Mọc răng số 8 có thể gây đau nhức, sốt, khó khăn trong ăn uống…nhưng không gây nguy hiểm nếu răng mọc đúng vị trí. Khi đó, răng này có thể đóng vai trò răng hàm để thực hiện chức năng nhai. Nhưng do răng số 8 mọc sau khi các răng khác đã phát triển hoàn chỉnh, xương hàm bắt đầu cứng cáp, quá trình mọc răng trở nên khó khăn do bị thiếu chỗ dẫn đến mọc lệch, mọc ngầm. Ngoài việc gây ra cảm giác khó chịu, nó còn gây ra những biến chứng nguy hiểm khác.

Tiểu phẫu răng khôn, răng mọc ngầm nên thực hiện khi nào?
Xô lệch hàm
Hệ quả đầu tiên mà bạn có thể thấy là răng này sẽ chèn vào các răng khác khiến hàm bị xô lệch. Các răng bị chèn ép sẽ đau nhức, dễ bị lung lay và thậm chí là mất răng.
Nhiễm khuẩn, viêm lợi trùm
Đây là biến chứng nguy hiểm nhất có thể xảy ra khi răng khôn mọc lệch. Thức ăn và vi khuẩn tích tụ tại chỗ răng khôn mọc lệch gây viêm tổ chức quanh thân răng. Bệnh nhân thấy đau, hôi miệng, sưng nề vùng lợi răng khôn, có thể thấy có mủ chảy ra, khó há miệng. Đáng nói là những viêm nhiễm này cứ tái diễn nhiều lần. Lần sau sẽ nặng hơn lần trước.
Trong trường hợp này, nếu bệnh nhân không được điều trị kịp thời thì vùng nhiễm trùng sẽ lan rộng ra các tổ chức, bộ phận xung quanh như má, cổ, mang tai. Từ đó gây viêm màng trong tim hoặc nhiễm trùng máu và cũng có nguy cơ ảnh hưởng đến tính mạng.
Gây tổn thương răng bên cạnh (răng số 7)
Răng số 7 có vai trò và vị trí khá quan trọng, là chiếc răng hàm lớn thứ hai đảm nhiệm chức năng ăn nhai. Theo thứ tự, răng số 7 nằm cạnh răng khôn trong khung hàm. Vì vậy, răng khôn mọc lệch ngầm sẽ ảnh hưởng đến răng số 7 đầu tiên. Khe hở giữa răng khôn mọc lệch và răng số 7 gây dắt thức ăn và làm sâu răng. Hơn nữa, răng khôn mọc lệch sẽ chèn ép vào chiếc răng bên cạnh, lâu ngày cọ xát làm tiêu một phần thân và chân răng. Đồng thời, nó cũng gây ra hiện tượng tiêu xương ở mặt xa của răng số 7.

Do việc chèn ép gây ra tổn thương rất “âm thầm” và kéo dài nhiều năm nên bạn có khi không hề hay biết. Chỉ đến khi vùng tổn thương lan rộng thì nhiều người mới đến gặp bác sĩ nha khoa. Khi đó, mọi việc có thể đã quá muộn. Chiếc răng số 7 của bạn khó có thể giữ lại được nữa.
Sâu răng
Răng số 8nằm ở vị trí sâu nhất của hàm răng. Vì thế nên nó rất khó chăm sóc và vệ sinh. Quá trình mọc răng khôn cũng gây tích tụ nhiều vi khuẩn, dễ gây sâu răng khôn hoặc sâu các răng lân cận. Khi răng đã bị sâu, lỗ sâu tăng kích thước, phá hủy cấu trúc răng quai hàm. Hậu quả là làm hỏng răng quai hàm và lan rộng ra các răng khác.
Rối loạn phản xạ và cảm giác
Do ở mặt có nhiều thần kinh chi phối nên khi răng khôn mọc lệch chèn ép các dây thần kinh gây mất hoặc giảm cảm giác ở môi, da, niêm mạc, răng ở nửa cung hàm. Mặt khác, răng khôn có thể gây ra hội chứng giao cảm: đau một bên mặt; phù, đỏ quanh ổ mắt.
Ảnh hưởng đến các mô mềm trong miệng
Một số trường hợp, răng số 8 mọc lệch ra phía ngoài, đâm vào má. Nếu không phát hiện và điều trị kịp thời có thể gây nhiễm trùng, tổn thương sâu đến vùng má. Ngược lại, răng số 8 lệch vào trong sẽ tăng nguy cơ gây tổn thương lưỡi. Do lưỡi phải thường xuyên hoạt động khi ăn nhai, nói chuyện nên khó tránh khỏi bị răng khôn đâm vào.
Áp xe răng
Nướu tại vị trí mọc răng số 8 bị viêm nhiễm tạo điều kiện cho các vi khuẩn răng miệng xâm nhập vào bên trong răng, hình thành các túi áp xe. Áp xe răng gây hỏng răng và ảnh hưởng đến các dây thần kinh nếu không được điều trị kịp thời. Tình trạng này khá nguy hiểm, mủ từ ổ áp xe có thể gây ngạt thở nếu chảy xuống họng, gây áp xe trung thất nếu chảy xuống trung thất…
Với những những thông tin trên, hy vọng bạn có thể nhìn lại tình trạng răng miệng của mình. Nếu bạn đang gặp những triệu chứng được đề cập ở trên, bạn cần đến phòng khám nha khoa gần nhất để kiểm tra nhằm tránh biến chứng về sau.
[WPSM_AC id=1966]
]]>Chỉ nha khoa và tăm nước là 2 dụng cụ giúp làm sạch răng miệng hiệu quả và an toàn. Nhưng với những ưu nhược điểm riêng, bạn nên chọn một dụng cụ làm sạch phù hợp với tình trạng răng miệng của mình.

Tăm nước là một dụng cụ làm sạch răng miệng bằng nước
Tăm nước là một dụng cụ làm sạch răng miệng bằng nước, bằng cách bắn ra tia nước nhỏ vào kẽ răng và nướu để lấy hết thức ăn thừa và mảng bám. Tăm nước được phát minh vào năm 1962 bởi một nha sĩ ở Colorado (Mỹ).
Ai nên sử dụng tăm nước?
Bạn có thể thích sử dụng tăm nước thay vì chỉ nha khoa nếu bạn:
Tăm nước có thể dễ sử dụng hơn so với chỉ nha khoa đối với những người bị viêm khớp hoặc cho bất cứ ai cảm thấy khó thao tác khi sử dụng chỉ nha khoa để làm sạch răng.
Ưu điểm:
Sử dụng tăm nước hữu ích đối với việc làm sạch các vùng răng miệng phía trong cùng, hoặc đối với những trường hợp răng mọc chen chúc, hay những người có túi nha chu do bệnh nướu răng gây ra.

Tăm nước dễ dàng thao tác với nhiều chế độ làm sạch
Tăm nước dễ dàng thao tác, dù bạn là người mới. Bạn có thể tự trải nghiệm và điều chỉnh những chế độ tia nước bắn ra tùy theo nhu cầu làm sạch cũng như cảm giác thoải mái của bạn. Tăm nước làm sạch triệt để hơn nên giúp giữ hơi thở thơm tho lâu hơn. Đó cũng là một điểm cộng khiến ngày càng có nhiều người lựa chọn tăm nước để vệ sinh răng miệng.
Để có hiệu quả nhất, người mới tập sử dụng răng nước nên nhớ đặt đầu tăm vào miệng trước khi khởi động thiết bị và đi chậm, lướt nhẹ đầu tăm dọc theo đường viền nướu. Và bạn cũng nên “tập luyện” sử dụng tăm nước bắt đầu với răng cửa. Sau đó có thể điều khiển tăm nước vào sâu hơn các răng phía trong để làm sạch. Nhớ vệ sinh đầy đủ cả mặt ngoài và trong cũng như hàm trên và dưới để đảm bảo tất cả răng miệng đều sạch sẽ hoàn toàn.
Nhược điểm:
Vệ sinh răng miệng bằng tăm nước có thể không loại bỏ mảng bám hoàn toàn khỏi bề mặt răng. Một số người thích sử dụng chỉ nha khoa trước, để cạo và nới lỏng mảng bám. Sau đó tiếp tục sử dụng tăm nước để rửa sạch cặn thừa thức ăn và mảng bám còn sót lại một cách dễ dàng và hiệu quả hơn.
Nhìn chung, tăm nước sử dụng an toàn, không nguy hiểm cho sức khỏe, ngoại trừ việc phải tổn một số chi phí không nhỏ so với chỉ nha khoa truyền thống.

Chỉ nha khoa là phương pháp làm sạch răng miệng truyền thống
Chỉ nha khoa lần đầu tiên được đề xuất sử dụng bởi một nha sĩ có tên là Levi Spear Parmly, trong sách “Hướng dẫn thực hành chăm sóc răng miệng” được xuất bản năm 1819. Sau đó 55 năm, chỉ nha khoa chính thức được cấp bằng sáng chế bởi Asahel M. Shurtleff. Ông đã thiết kế chỉ nha khoa trong bao bì kèm theo một thiết bị để cắt chỉ, tương tự một số chỉ nha khoa được bán ngày nay.
Chỉ nha khoa những năm 1800 thường được làm bằng lụa. Tuy nhiên cho đến sau Thế chiến thứ hai, lụa được thay thế bằng chất liệu nylon. Ngày nay, chỉ nha khoa có sẵn trong các hộp nhựa nhỏ gọn với nhiều mùi vị khác nhau tạo “cảm hứng” khi bạn làm sạch răng miệng bằng chỉ nha khoa.
Ai nên sử dụng chỉ nha khoa?
Tất cả mọi người nên dùng chỉ nha khoa, vì đây là một phần quan trọng trong vệ sinh răng miệng hàng ngày, giúp giảm nguy cơ mắc bệnh về nướu hay sâu răng.
Ưu điểm:

Chỉ nha khoa giúp loại bỏ vi khuẩn, mảng bám và các hạt thức ăn ở kẽ răng
Dụng cụ này giúp loại bỏ vi khuẩn, mảng bám và các hạt thức ăn ở kẽ răng. Sử dụng chỉ nha khoa cũng cho giúp bạn làm sạch từng chiếc răng khỏi mảng bám dính trước khi nó có thể biến thành vôi răng.
Lợi ích chính của việc sử dụng chỉ nha khoa là dễ kiểm soát và sử dụng. Dùng chỉ nha khoa cho phép bạn vệ sinh tỉ mỉ từng chiếc răng, theo chuyển động lên xuống và điều khiển chỉ nha khoa giữa các răng.
Nhược điểm:
Một số người có lẽ không đủ “khéo léo” để sử dụng chỉ nha khoa cho các vùng răng miệng phía trong. Hoặc chỉ nha khoa cũng rất khó thao tác nếu khoảng cách giữa các răng quá sát nhau. Nếu bạn kéo chỉ nha khoa quá mạnh và sâu xuống nướu có thể khiến nướu bị chảy máu. Vì vậy, sau khi dùng chỉ nha khoa, bạn nên súc miệng để loại bỏ các mảng bám và thức ăn thừa còn sót lại.
có thể không dễ dàng tiếp cận các khu vực nhất định của miệng khi chỉ dựa vào chỉ nha khoa. Bạn cũng có thể có một thời gian khó khăn giữa các răng rất gần nhau. Nếu bạn xỉa quá xa xuống dưới đường viền nướu hoặc quá mạnh, nướu của bạn có thể bị chảy máu.
Cả tăm nước và chỉ nha khoa đều giúp bạn vệ sinh răng miệng sạch sẽ, tuy nhiên phương pháp nào khiến bạn thoải mái và tự tin khi sử dụng thì đó là cách vệ sinh răng miệng tốt nhất cho bạn.
Nhiều người có thể thích sự đơn giản và tiện lợi của chỉ nha khoa hơn. Còn những người khác lại “mê mẩn” với cảm giác sạch sẽ sau khi sử dụng tăm nướu. Vì vậy, bạn không cần quá phân vân là nên chọn chỉ nha khoa hay tăm nước. Sao cũng được miễn là bạn đánh răng đầy đủ 2 lần/ngày và sử dụng thêm một thiết bị để làm sạch những mảng bám ở kẽ răng ít nhất 1 ngày/ lần là răng miệng sẽ luôn khỏe mạnh và thơm mát. Nhưng tuyệt đối không nên sử dụng tăm xỉa răng bằng tre, gỗ hay nhựa để vệ sinh răng miệng vì những tác hại của tăm xỉa răng rất nguy hiểm.
Còn nếu bạn đang có vấn đề về răng miệng, có thể tớ gặp bác sĩ nha khoa để được thăm khám và tư vấn phương pháp vệ sinh răng miệng phù hợp nhất.
]]>Thói quen sử dụng tăm xỉa răng để vệ sinh răng miệng sau khi ăn tiềm ẩn nhiều tác hại đối với sức khỏe răng miệng.

Sử dụng tăm xỉa răng gây tổn thương nướu
Các loại tăm thường được thiết kế bằng chất liệu cứng như gỗ, nhựa… và có đầu nhọn để dễ dàng lấy thức ăn thừa ra khỏi kẽ răng. Vì vậy hành động xỉa răng bằng tăm sẽ gây tổn thương đến phần nướu. Về lâu dài gây ảnh hưởng không tốt đến nướu răng, gây các bệnh về nướu.
Men răng là lớp phủ bên ngoài để bảo vệ răng khỏi những tác động bên ngoài. Việc thường xuyên xỉa răng bằng tăm hay các vật cứng nhọn khác có thể khiến lớp bảo vệ này bị phá vỡ, gây mòn men răng và có thể gây các bệnh lý răng miệng như răng ê buốt, vàng răng…
Dùng tăm thường tác động trên cùng một vị trí răng, trong một thời gian dài sẽ tạo ra lỗ hổng giữa các chân răng, gây thưa răng. Nhưng khe răng này không những gây mất thẩm mỹ mà còn tăng nguy cơ mắc thức ăn vào ảnh hưởng đến vệ sinh răng miệng.

Tăm xỉa răng không giúp loại bỏ các thức ăn thừa trong kẽ răng gây hôi miệng
Vệ sinh răng miệng bằng tăm không thể loại bỏ hết các mảng bám thức ăn còn sót lại trên răng nên tăng khả năng gây hôi miệng. Thay vì dùng tăm, bạn nên dùng chỉ nha khoa, tăm nha khoa và nước súc miệng để đảm bảo răng miệng được làm sạch tuyệt đối và an toàn.
Đầu tăm nhọn có thể chọc vào nướu gây rách nướu và chảy máu. Vi khuẩn trên tăm và trong khoang miệng qua vết thương hở vào nướu gây viêm và nhiễm trùng.

Sử dụng chỉ nha khoa thay thế tăm xỉa răng để bảo vệ sức khỏe răng miệng
Chăm sóc sức khỏe răng miệng và điều trị nha khoa là dịch vụ thiết yếu mà gia đình nào cũng cần đến. Thế nhưng, hiện nay có quá nhiều cơ sở nha khoa mọc lên, chúng ta khó biết được đâu là địa chỉ uy tín, bác sĩ giỏi chuyên môn.
Cùng với các dịch vụ làm đẹp da, chăm sóc vóc dáng, dịch vụ nha khoa cũng nổi lên rất mạnh mẽ trong những năm gần đây. Tìm nơi chăm sóc sức khỏe răng miệng, làm đẹp cho hàm răng đã trở nên đơn giản hơn rất nhiều, nhất là ở những thành phố lớn tập trung đông dân cư. Tuy nhiên, không phải cơ sở nào quy mô và chất lượng dịch vụ cũng đảm bảo. Rất nhiều người tiền mất tật mang vì điều trị ở những địa chỉ dỏm.

Chọn địa chỉ nha khoa bạn nên tìm hiểu chu đáo
Vậy làm thế nào để tìm và chọn được cơ sở nha khoa tốt?
Đừng quá lo lắng, bạn hãy lưu ý những tiêu chí sau đây khi chọn trung tâm nha khoa cho mình. Việc chọn lựa sẽ chính xác và nhanh chóng hơn rất nhiều:
Hãy đến những địa chỉ nha khoa được nhiều người biết đến
Bạn có thể tìm hỏi qua bạn bè, người quen, tìm trên các trang mạng xã hội hoặc tự mình biết đến những địa chỉ nha khoa đó qua quảng cáo. Hãy ưu tiên tìm hiểu những cơ sở nha khoa được đông khách hàng tìm đến. Thường thì những địa chỉ uy tín, điều trị tốt khách hàng rất đông.
Khảo sát phản hồi, đánh giá của khách hàng
Khi đã tìm được địa chỉ, bạn nên xem phản hồi, đánh giá của khách hàng đã từng thực hiện dịch vụ ở cơ sở nha khoa đó. Bạn nên kết hợp hỏi trực tiếp mọi người và tham khảo trên mạng để có được nhìn nhận khách quan nhất về chất lượng dịch vụ.
Liên hệ tư vấn trước khi điều trị

Nha khoa Premier nổi tiếng với đội ngũ bác sĩ giỏi
Và dù tìm hiểu bằng cách nào thì trước khi muốn điều trị nha khoa bạn nên đến tư vấn trước. Bạn cần biết bệnh lý, vấn đề răng miệng của mình là gì, điều trị như thế nào, có an toàn không, cơ sở nha khoa đó có những điều kiện gì đảm bảo, chi phí bao nhiêu….trước khi quyết định thực hiện dịch vụ.
Nha Khoa Premier hiểu được tâm lý của khách hàng nên không ngừng hoàn thiện dịch vụ từ những điều nhỏ nhặt nhất. Đội ngũ bác sĩ – nhân viên tại Premier Dental được đào tạo chuyên môn nghiệp vụ chuyên sâu, lương tâm trách nhiệm đặt lên hàng đầu nên khách hàng vô cùng an tâm khi điều trị.
Như chúng tôi đã chia sẻ, trước khi quyết định chọn nơi điều trị bạn nên có sự tìm hiểu chu đáo. Hãy chăm sóc hàm răng của mình thật tốt để cuộc sống hoàn thiện hơn từng ngày bạn nhé!
]]>Các bệnh lý về răng miệng ở mọi độ tuổi, giới tính đều khiến chúng ta quan tâm. Nha Khoa Premier sẽ chia sẻ một số bệnh răng miệng thường gặp và cách phòng ngừa, điều trị qua bài viết sau đây.
Sâu răng
Một trong những bệnh răng miệng thường gặp nhất là sâu răng. Biểu hiện gồm xuất hiện những chấm, lỗ đen. Ngày qua ngày, chúng lan rộng dần gây ê buốt và đau nhức răng.
Viêm tủy răng
Tủy răng bị tổn thương hình thành những cơn đau kéo dài, khiến bạn cảm thấy vô cùng khó chịu. Để lâu sẽ ảnh hưởng nghiêm trọng đến sức khỏe cơ thể và ảnh hưởng đến các răng bên cạnh.
Viêm nướu
Đây là một trường hợp nhẹ của bệnh viêm nha chu. Thường thì nướu bị viêm, kích ứng đỏ ửng, nướu bị chảy máu và nhạy cảm.
Viêm nha chu
Viêm nha chu là bệnh lý mà vi khuẩn và mảng bám tích tụ dưới nướu. Bệnh làm nướu có dấu hiệu tụt, tiêu xương quanh răng, làm răng lung lay, rụng răng.

Mất răng
Có rất nhiều nguyên nhân khiến mất răng như: đến tuổi thay răng, rụng răng, gãy răng do tai nạn, nhổ răng sâu…
Vấn đề với chiếc răng khôn
Chiếc răng khôn mọc cuối cùng trên hàm răng của người trưởng thành. Ở một vài trường hợp, răng khôn mọc sẽ gặp tình trạng như viêm quanh thân răng, dắt thức ăn gây sâu răng, viêm nướu, tiêu xương, đẩy nhóm răng phía trước xô lệch…

Nên đến gặp bác sĩ để được chẩn đoán chính xác bệnh lý về răng miệng
Các bệnh lý về răng miệng rất thường gặp. Nếu chúng ta trang bị kiến thức về chăm sóc sức khỏe răng miệng và vệ sinh tốt mỗi ngày thì sẽ hạn chế tối đa những bệnh lý này.
Những lưu ý chăm sóc răng miệng hằng ngày mà các chuyên gia nha khoa khuyên bạn:

Nha khoa Premier Dental thăm khám và chữa trị hầu hết các bệnh lý về răng miêng
Bệnh về răng miệng rất nhiều, trên đây là những bệnh thường gặp nhất. Bạn nên “thủ” sẵn cho mình một địa chỉ nha khoa uy tín khi gặp bất cứ vấn đề gì.
Nha Khoa Premier hân hạnh là địa chỉ nha khoa giúp bạn chăm sóc, hoàn thiện vẻ thẩm mỹ tối ưu cho hàm răng.
Hy vọng kiến thức mà chúng tôi chia sẻ trên đây sẽ giúp bạn bảo vệ và chăm sóc tốt cho hàm răng của mình. Bạn có thể tìm đọc thêm các tin tức liên quan trên chuyên mục của Nha Khoa Premier để trang bị thêm thật nhiều kiến thức hữu ích nhé.
Ai cũng biết việc mất răng sẽ ảnh hưởng không nhỏ đến tâm lý, sức khỏe, và thẩm mỹ của bệnh nhân. Vì vậy, phục hình răng là luôn là chủ đề hot mà nhiều bệnh nhân bị mất răng quan tâm. Một trong những phương pháp phục hình răng phổ biến nhất hiện này là cầu răng sứ. Hôm nay Th.S Bs Albert Lê Khôi Việt sẽ trả lời câu hỏi của một độc giả về phương pháp phục hình này. Hy vọng quý độc giả có cùng thắc mắc tương tự sẽ có được câu trả lời cho riêng mình.
Câu hỏi:
“Chào Bác sĩ. Tôi bị sâu răng hàm số 6 rất nặng và buộc phải nhổ bỏ. Tôi có tìm hiểu trên mạng về một số phương pháp phục hình răng. Trong đó, phương pháp cầu răng sứ có chi phí hợp lý và được nhiều người đánh giá là khá hiệu quả. Xin bác sĩ tư vấn giúp: Với tình trạng răng của tôi thì làm cầu răng sứ có tốt không và cần lưu ý gì không? Cảm ơn bác sĩ!”
Chị Hoa, 26 tuổi, Thanh Xuân, Hà Nội.
Trả lời:
Chào chị Hoa.
Đối với trường hợp mất răng hàm số 6 thì có thể làm được cầu răng sứ. Tuy nhiên, trước khi thực hiện, chị cần được thăm khám bởi bác sĩ chuyên khoa để xem răng hàm của chị có đủ điều kiện để làm cầu răng hay không.

Cần mài nhỏ răng cận kể để làm trụ răng
Để thực hiện làm cầu răng sứ, 2 răng trụ phải chắc khỏe để có thể làm trụ. Quy trình thực hiện khá đơn giản. Bác sĩ sẽ tiến hành mài nhỏ 2 răng trụ này. Sau đó, sử cầu 3 răng (lõi rỗng) chụp lên 2 răng trụ. Ưu điểm của cầu răng sứ là chi phí hợp lý (từ 3-6 triệu/ đơn vị); thời gian thực hiện nhanh chóng, chỉ từ 2 – 3 ngày; và tuổi thọ cao ( từ 10 đến 15 năm).
Tuy nhiên, bắc cầu răng sứ cũng tiềm ẩn những rủi ro. Đầu tiên, Bác sĩ buộc phải mài ít nhất 2 răng kế cận để làm trụ răng. Việc này sẽ làm cho răng thật bị yếu dần đi. Khi chúng không còn đủ khỏe để làm trụ, bệnh nhân cần phải nới rộng cầu răng, hoặc thực hiện phương pháp phục hình nha khác như trồng răng Implant.

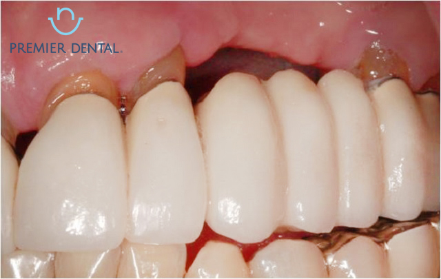
Vị trí mất răng sẽ bị tiêu xương dẫn đến tụt nướu, lộ chân răng gây mất thẩm mỹ
Thứ hai, việc làm bắc cầu răng sứ chỉ thay thế cho thân răng mà không can thiệp trực tiếp đến xương hàm. Vì vậy, sau một thời gian, vị trí mất răng sẽ bị tiêu xương dẫn đến tụt nướu, lộ chân răng.
Có thể thấy, phương pháp làm cầu răng sứ chưa phải là giải pháp tối ưu nhất cho trường hợp mất răng hàm số 6 của chị. Vì răng số 6 có vị trí rất quan trọng trên cung hàm, chị có thể xem xét đến phương pháp phục hình tốt hơn là cấy ghép nha khoa. Hiện nay, phương pháp trồng răng Implant được đánh giá là tốt nhất cho người mất răng. Để hiểu rõ hơn về phương pháp này mời chị Hoa tham khảo thông tin tại đây.

Đến thăm khám tại địa chỉ uy tín để nhận được tư vấn phương pháp trồng răng phù hợp
Một lời khuyên cho chị, đó là trước khi quyết định lựa chọn nên làm cầu răng sứ hay bất kỳ một phương pháp nào khác, chị vẫn cần đến bác sĩ để được thăm khám. Từ kết quả chụp phim X-Quang, bác sĩ sẽ phân tích rõ tình trạng răng miệng và đưa ra các phương án điều trị phù hợp. Vì vậy, việc không thăm khám sẽ làm mất cơ hội tiếp cận phương pháp phù hợp nhất.
Lời khuyên thứ hai là nên lựa chọn một nha khoa uy tín để kiểm tra và nhận tư vấn từ bác sĩ. Những lời chia sẻ của bạn bè và người thân đã từng thực hiện phục hình răng cũng sẽ giúp chị đưa ra quyết định phù hợp.
Rất cảm ơn chị Hoa đã tin tưởng và gửi câu hỏi đến cho chúng tôi. Hy vọng rằng những chia sẻ trên sẽ giúp ích cho chị. Chúc chị sớm tìm lại hàm răng chắc khỏe và tự tin!
]]>
Bắc cầu răng sứ (hay còn gọi là cầu răng sứ) là phương pháp phục hình răng thẩm mỹ được nhiều người cần nhắc lựa chọn. Một cầu răng sứ hoàn thiện cũng cần đáp ứng các quy chuẩn thẩm mỹ. Ví dụ như độ sáng, màu sắc trắng tự nhiên như răng thật và có độ bền cao, khả năng chịu lực tốt.
Khi bàn về chi phí làm cầu răng sứ, người đọc cần hiểu rằng chi phí này phụ thuộc vào nhiều yếu tố. Chẳng hạn như: số răng sứ trên cầu răng (một cầu răng thường có từ 3 đơn vị trở lên), vật liệu sứ, và trung tâm thực hiện. Ngoài ra, chi phí làm cầu răng sứ còn phụ thuộc vào tình trạng mất răng và tình trạng xương hàm của khách hàng.
1. Số răng mất càng nhiều thì chi phí càng cao
Số răng đã mất cần phục hình là yếu tố đầu tiên cần được nhắc đến. Nó ảnh hưởng rất lớn đến chi phí làm răng. Bởi, số lượng răng mất càng nhiều thì chi phí càng cao.
Người ta đưa ra công thức để tính như sau:
Chi phí cầu răng sứ = (Số răng mất + 2 ) x Chi phí cho 1 răng
Nếu tính cụ thể trong trường hợp bạn mất 1 răng thì cần phải làm cầu răng sứ 3 răng. Khi đó giá sẽ tính trên 3 đơn vị răng sứ. Tương tự, nếu bạn mất 2 răng thông thường sẽ làm cầu 4 răng.
2. Chọn vật liệu sứ là yếu tố then chốt
Có thể nói, chọn liệu vật liệu sứ để thực hiện cầu răng là yếu tố quyết định chi phí. Bởi với mỗi loại vật liệu lại có mức giá khác nhau.

Trong bài viết này, chúng tôi xin đưa ra 4 loại răng sứ thông dụng trên thị trường:
Răng sứ kim loại thường:
Là răng sứ có phần sườn được đúc từ hợp kim thường (Ni-Cr hoặc Co-Cr) bên ngoài được phủ một lớp Ceramco. Giá dao động từ khoảng 3-4 triệu đồng/răng.
Răng sứ cao cấp Zirconia/Cercon
Có độ cứng và độ bền cao, gia công hoàn toàn bằng công nghệ hiện đại. Giá dao động từ 5.5 – 6 triệu đồng/răng.
Để chọn cho mình loại răng phù hợp, bạn có thể dựa trên nhu cầu, điều kiện kinh tế và vị trí của răng cần phục hình. Một vài lời khuyên cho bạn là khi trồng răng nhai thì nên chọn loại sứ cao cấp Zirconia. Vì sứ Zirconia có độ bền và độ cứng tốt nhất phù hợp với chức năng nhai. Còn khi trồng răng cửa, cần độ sáng bóng, trong đẹp như răng thật thì có thể cân nhắc đến răng toàn sứ.
3. Và những yếu tố khác
Ngoài hai yếu tố kể trên thì chi phí thực hiện cầu răng sứ còn phụ thuộc vào trung tâm nha khoa mà bạn chọn, vào tình trạng răng đã mất và tình trạng xương hàm. Với mỗi trung tâm nha khoa sẽ có đội ngũ chuyên gia, bác sĩ với tay nghề khác nhau và sử dụng các công nghệ khác nhau.

Đội ngũ Bác sĩ tại Premier Dental
Lưu ý
Tổng chi phí thực hiện sẽ cao nếu bạn đang mắc bệnh lý về răng miệng hay tình trạng xương hàm yếu. Bên cạnh đó, trong một số trường hợp răng trụ bị yếu cũng sẽ phát sinh thêm chi phí để xử lý răng trụ. Ví dụ như nếu răng không tốt nhưng còn hồi phục được thì bác sĩ có thể điều trị tủy và tái tạo cùi giả (tuổi thọ của trụ sẽ giảm đi). Nếu răng trụ quá yếu, không hồi phục được thì cần nhổ răng. Lúc này, bác sĩ sẽ làm cầu răng dài hơn để khắc phục. Trường hợp cầu răng dài, bác sĩ sẽ mài thêm răng thật để nâng đỡ cầu răng. Ví dụ, thay vì chỉ mài 2 răng như bình thường bác sĩ có thể sẽ phải mài 3 răng để cầu răng được chắc chắn, khi ấy chi phí sẽ tăng thêm.
Trước khi đưa ra quyết định, bạn nên nghiên cứu kỹ các phương pháp trồng răng cũng như chi phí của mỗi giải pháp. Hy vọng bài viết trên đây đã phần nào trang bị thông tin hữu ích cho bạn. Chúc bạn sớm có nụ cười tự tin.
Hiện nay, có rất nhiều phương pháp để phục hồi lại răng mất. Trong đó, bắc cầu răng sứ là giải pháp được nhiều người ưa chuộng. Để hiểu rõ hơn, hãy cùng Nha Khoa Premier tìm hiểu từ A – Z những điều cần biết về phương pháp này.
Bắc cầu răng sứ (hay còn gọi là cầu răng sứ) là giải pháp khôi phục một hoặc nhiều răng đã mất. Cầu răng được gắn cố định trên trụ răng thật và vắt ngang qua vị trí răng bị khuyết. Qua đó, giúp lấp đầy khoảng trống răng mất trên cung hàm.
Hiện nay có 3 loại cầu răng sứ
Cầu răng sứ truyền thống:
Cấu tạo của cầu răng sứ truyền thống bao gồm ít nhất 2 mão sứ ở hai đầu khoảng mất răng. Nằm giữa là răng giả (được sử dụng để thay thế cho răng đã mất). Về kỹ thuật thực hiện, bác sĩ sẽ mài đi men răng bên ngoài các răng thật kế cận vị trí răng mất để làm trụ răng. Sau đó gắn cầu răng sứ lên trên để hoàn tất việc phục hình.

Cầu răng sứ có cánh dán:
Có cấu tạo gồm 2 phần: răng giả và 1 dải kim loại (gọi là cánh dán). Trong đó, răng giả sẽ được dán vào các răng thật ở hai bên khoảng mất răng bởi cánh dán. Để đảm bảo tính thẩm mỹ cho hàm răng, các cánh dán sẽ được dán vào mặt trong của răng. Loại phương pháp này thường được chỉ định để phục hình răng cửa. Với điều kiện các răng được sử dụng để làm trụ phải còn khỏe mạnh, cứng chắc và không có miếng trám lớn.
Cầu răng sứ nhảy:
Thường được chỉ định cho những răng cần phục hình ít phải chịu tác động của lực nhai, thích hợp với nhóm răng cửa. Kỹ thuật thực hiện cầu răng sứ nhảy cũng tương tự như cầu răng sứ truyền thống nhưng trụ răng chống đỡ cho răng sứ chỉ nằm ở 1 bên của khoảng mất răng.
– Mang lại hiệu quả thẩm mỹ cao, răng sứ trên cầu răng có màu sắc và hình dáng giống như răng thật.
– Thời gian thực hiện nhanh chóng, chỉ cần 2-3 lần hẹn với bác sĩ, mỗi lần khoảng 1-2 giờ là có thể hoàn thành.
– Cầu răng sứ có độ bền cao. Nếu vệ sinh và chăm sóc tốt tuổi thọ của răng có thể lên đến 10-15 năm.
– Chi phí hợp lý, phụ thuộc vào số răng trên cầu răng và vật liệu sứ được chọn để thực hiện. Trung bình một răng có giá khoảng từ 3-6 triệu/ đơn vị. Nếu so sánh với chi phí trồng răng implant (khoảng từ 23 – 40 triệu/ đơn vị) thì chi phí làm cầu răng sứ “dễ chịu” hơn hẳn.
– Đảm bảo lực nhai tương đối tốt.
– Bác sĩ buộc phải mài ít nhất hai răng kế cận răng bị mất để làm trụ răng. Mài răng sẽ làm cho răng thật bị yếu dần đi. Trong trường hợp răng trụ bị yếu nhưng còn hồi phục được, bác sĩ sẽ điều trị tủy và tái tạo cùi răng giả, khi đó tuổi thọ của cầu răng cũng sẽ giảm đi. Trường hợp răng không hồi phục được thì cần phải nhổ răng, sau đó làm cầu răng dài hơn hoặc đặt implant.
– Cầu răng sứ chỉ thay thế cho thân răng mà không can thiệp đến xương hàm. Sau một thời gian, vị trí mất răng có thể bị tiêu xương dẫn đến tụt nướu, lộ chân răng của răng trụ gây mất thẩm mỹ.
– Lưu ý, cầu răng sứ không áp dụng đối với trường hợp mất răng toàn hàm và trường hợp mất răng số 7, do răng số 8 (răng khôn) thường không đủ điều kiện để làm trụ răng vì vị trí bất tiện, dễ bị sâu răng và khó vệ sinh.
Cầu răng là giải pháp phục hình răng giả cho những trường hợp bị mất một hay nhiều răng nhưng không phải ai cũng có thể áp dụng kỹ thuật này. Phương pháp này thích hợp trong các trường hợp sau đây:
– Người mất một hay nhiều răng nhưng không muốn sử dụng hàm giả tháo lắp hay trồng răng implant.
– Bệnh nhân nôn nóng muốn có răng mới để ăn nhai trong thời gian ngắn.
– Các răng bên cạnh răng đã mất phải còn chắc khỏe đủ điều kiện làm trụ cầu cho mão răng sứ bên trên.
– Xương hàm vùng cần cấy ghép không bị tiêu hõm, các răng vẫn còn ngay ngắn, không bị xô lệch.
– Cầu răng được áp dụng cho những bệnh nhân ở tuổi trưởng thành với các răng vĩnh viễn đã mọc hoàn chỉnh.
Cầu răng có thể được làm từ nhiều loại vật liệu khác nhau. Tùy vào nhu cầu, điều kiện tình trạng sức khỏe và mục tiêu thẩm mỹ của bạn mà nha sĩ sẽ tư vấn cho bạn loại vật liệu làm cầu răng thích hợp nhất. Gồm có:
Kim loại
Cầu kim loại là loại phục hồi mạnh nhất và bền nhất. Với cầu kim loại răng của bạn sẽ ít bị mài hơn. Tuy nhiên, phương pháp này không được đánh giá cao về mặt thẩm mỹ. Do đó, nó thích hợp để phục hình cho răng hàm.
Toàn sứ
Cầu răng toàn sứ được đánh giá cao về mặt thẩm mỹ vì có màu tương đồng với màu răng, tính an toàn và độ bền.
Bước 1: Thăm khám và tư vấn
Khám tổng quát khoang miệng, đánh giá hiện trạng răng, nướu và sức khỏe của bệnh nhân. Đối với những trường hợp xương hàm và răng phức tạp, bác sĩ sẽ tiến hành soi chụp phim X-quang. Căn cứ vào kết quả, bác sĩ sẽ giám định tình hình, và trao đổi với bệnh nhân về kế hoạch phục hình cụ thể chi tiết.

Hình minh hoạ khách hàng chụp CT tại Premier Dental
Bước 2: Gây tê và mài cùi răng trụ răng
Bác sĩ tiến hành gây tê vùng răng cần điều trị. Hai răng thật bên cạnh răng mất sẽ được mài nhỏ để làm cùi răng. Sau khi mài cùi, bác sĩ gắn tạm mão răng sứ tạm thời để bảo đảm thẩm mỹ vừa giúp bệnh nhân làm quen trong thời gian chờ chế tác mão răng chính thức.
Bước 3: Lấy dấu răng chế tác cầu răng
Bác sĩ thu thập những thông tin về khung hàm, đo kích thước vị trí mất răng, màu răng cần phục hình,v.v. Sau đó, các kỹ thuật viên sẽ dựa theo đó chế tác mão răng phù hợp.
Bước 4: Lắp cầu răng cố định và hẹn lịch tái khám
Sau khi mão răng được chế tác xong, bác sĩ thực hiện gắn lên trên cùi răng đã mài. Bác sĩ sẽ chỉnh sửa độ kênh của cầu răng nếu có. Khi cầu răng đã hoàn toàn được khít sát với cùi và bệnh nhân cũng cảm thấy thoải mái thì bác sĩ sẽ sử dụng chất dính nha khoa để cố định cùi răng.
Khi gắn cầu răng hoàn thành thì bệnh nhân sẽ được lên lịch hẹn khám lại để theo dõi về sau.
Trên thị trường hiện nay, chi phí trung bình cho một chiếc răng có giá từ 3 – 6 triệu đồng tùy thuộc vào vật liệu sứ được chọn. Giá tham khảo cụ thể với 4 loại răng sứ thông dụng như sau:
Để kéo dài tuổi thọ của cầu răng sứ, đảm bảo chức năng ăn nhai và thẩm mỹ hoàn hảo, bạn cần chăm sóc thật tốt. Nên dùng chỉ nha khoa, chải răng nhẹ nhàng với bàn chải lông mềm.
Tránh nhai đá hoặc các vật cứng khác để đảm bảo cầu răng không bị hỏng. Bên cạnh đó, bạn cần tuân thủ đúng lịch hẹn tái khám để nha sĩ có thể kịp thời phát hiện và điều trị những vấn đề có thể phát sinh.
Tin rằng, với việc bỏ túi 9 lưu ý nêu trên, bạn hoàn toàn có thể yên tâm vì đã trang bị cho mình những kiến thức cần thiết về phương pháp bắc cầu răng sứ. Chúc bạn thành công!
]]>Với nhiều ưu điểm vượt trội, bắc cầu răng sứ đang là lựa chọn của rất nhiều người. Tuy nhiên, chúng ta cần biết cách chăm sóc cầu răng sứ để kéo dài tuổi thọ răng.
Cầu răng là phương pháp phục hình răng truyền thống. Phương pháp này được áp dụng phổ biến trong trường hợp mất một hay nhiều răng. Để thực hiện, bác sĩ sẽ mài 2 răng cận kề và gắn cầu răng sứ lên.
Hiện nay, có 2 loại cầu răng là cầu răng sứ kim loại và cầu răng toàn sứ. Dù là loại nào, bạn cũng cần biết cách chăm sóc cầu răng thì tuổi thọ và chất lượng của răng giả mới duy trì được lâu dài. Hãy cùng Nha Khoa Premier điểm qua những “nguyên tắc vàng” khi chăm sóc răng dưới đây.
Chải răng đủ và đúng:
Sử dụng kết hợp chỉ tơ nha khoa, nước súc miệng
Nên sử dụng nước súc miệng khoảng 2 lần/ ngày và mỗi lần súc miệng khoảng 1 phút và dùng chỉ nha khoa sau mỗi bữa ăn giúp loại bỏ mảnh vụn thức ăn, mảng bám nằm sâu trong các kẽ răng.

Vệ sinh răng miệng đúng cách.
Chế độ ăn uống của bạn sẽ tác động trực tiếp đến độ bền cũng như vẻ đẹp của răng sứ. Vì thế bạn nên thực hiện theo các lưu ý sau:

Có một số thói quen không tốt ảnh hưởng đến răng mà bạn nên học cách từ bỏ như:

Một trong những “nguyên tắc” cơ bản mà bạn không thể bỏ qua đó là tái khám định kỳ. Răng sứ vẫn có thể bị ảnh hưởng sau một thời gian dài sử dụng. Vì vậy, bạn nên đến gặp Bác sĩ định kỳ 6 tháng/ lần. Thói quen này sẽ giúp bạn ngăn ngừa được các vấn đề có thể xảy ra. Tại phòng khám, bạn sẽ được kiểm tra độ khít cũng như chất lượng của răng, mức độ mảng bám răng, sự chắc khỏe của nướu.
Nếu có bất cứ một triệu chứng bất thường như ê răng, đau nhức răng, khó nhai hoặc nứt vỡ răng sứ, bạn nên đến gặp các bác sĩ ngay để được can thiệp sớm, tránh những biến chứng có thể xảy ra.
Tin rằng, khi đã nắm được những điểm cần lưu ý trên đây, bạn đã có cách chăm sóc cầu răng sứ hợp lý cho mình. Hơn nữa, chăm sóc răng miệng tốt cũng là điều kiện cần và đủ để bảo vệ sức khỏe răng hàm của bạn tránh khỏi những bệnh lý nguy hiểm về răng miệng.
]]>
Sử dụng máng tẩy trắng cải thiện màu răng giúp răng trắng sáng hơn
Máng tẩy trắng răng là một dạng máng nhựa plastic mềm, trong suốt. Nó được bác sĩ thiết kế phù hợp với khuôn răng từng người. Liều lượng thuốc tẩy sẽ được bác sĩ chỉ định phù hợp với tình trạng răng miệng của từng người. Mặt khác, kiểm soát liều lượng thuốc tẩy giúp ngăn chặn không cho chúng tràn ra ngoài ảnh hưởng đến mô mềm và ngăn nước bọt tràn vào trong quá trình tẩy trắng.

Máng tẩy trắng dạng nhựa mềm trong suốt được thiết kế phù hợp với hàm răng của từng người.
Cách sử dụng rất đơn giản. Bạn có thể tự thực hiện và sử dụng ở nhà trong thời gian thuận tiện. Mẹo nhỏ, bạn có thể sử dụng phương pháp làm trắng răng này trong lúc ngủ để tiết kiệm thời gian. Tuy nhiên, để đảm bảo an toàn và chất lượng, bạn nên đến các Nha khoa uy tín để thực hiện dịch vụ này.
Tuy là phương pháp đơn giản nhưng không phải ai cũng thích hợp với biện pháp này. Vì vậy Nha Khoa Premier khuyên bạn nên trực tiếp tới thăm khám tại các nha khoa uy tín. Nha sĩ sẽ tư vấn cụ thể về tình trạng răng của bạn có phù hợp để sử dụng máng tẩy trắng hay không. Dưới đây là những trường hợp sử dụng phương pháp này mang lại hiệu quả tẩy trắng cao:
– Răng ố vàng, xỉn màu do thực phẩm hàng ngày.
– Răng ố vàng tự nhiên theo thời gian.
– Những người muốn cải thiện màu răng.
Trong một số trường hợp, máng tẩy trắng thường không đem lại hiệu quả như mong muốn. Cụ thể:
– Răng bị nhiễm màu tetracyline độ 3-4
– Trường hợp bị tụt lợi: sử dụng máng tẩy trắng sẽ gây ê buốt, ảnh hưởng tủy răng.
Ngoài ra những người bị dị ứng thuốc tẩy trắng răng, người bị viêm lợi hở cổ-chân răng và người dưới 16 tuổi cũng không nên sử dụng phương pháp máng tẩy trắng. Phụ nữ đang mang thai hoặc cho con bú nên thận trọng và cần được thăm khám trực tiếp bởi nha sĩ trước khi sử dụng phương pháp này.
Để đảm bảo máng tẩy trắng phát huy được hiệu quả tốt nhất, bạn cần thực hiện đúng theo các bước dưới đây:
1. Khám tổng quát
Đây là một bước rất quan trọng mà bạn không thể bỏ qua. Việc khám răng tổng quát sẽ giúp bạn biết được liệu bạn có thích hợp để sử dụng máng tẩy hay không. Trường hợp phát hiện có răng sâu, răng bị mòn cổ hay có quá nhiều mảng bám trên răng, v.v bác sĩ sẽ đề nghị bạn nên điều trị và cạo vôi răng để làm sạch các mảng bám trước khi tẩy trắng.

Bạn cần tới nha khoa tuy tín để được thăm khám và tư vấn trước khi sử dụng máng tẩy trắng răng
2. Lấy dấu răng để đúc thành máng tẩy trắng răng
Bác sĩ sẽ lấy dấu 2 hàm răng của bạn và đúc thành một cặp máng tẩy bằng nhựa mềm, vừa khít với răng của bạn và không làm tổn thương đến nướu. Mỗi cặp máng tẩy trắng sẽ được làm riêng cho từng người, không ai giống ai.
3. Sử dụng máng tẩy trắng răng tại nhà
Sau khi đã thực hiện xong 2 công đoạn trên và nhận được tư vấn của bác sĩ về việc sử dụng thuốc tẩy trắng, bạn có thể mang dụng cụ về nhà và thực hiện theo các bước như sau:
Bước 1: Vệ sinh răng miệng thật kĩ, có thể súc miệng bằng nước muối sinh lý. Sau đó, để khô răng trong khoảng 5 phút.
Bước 2: Dùng các miếng bông cứng hoặc dụng cụ cách ly để cách ly môi ra xa răng. Nhất là ở vị trí gần gốc răng.
Bước 3: Cho thuốc tẩy trắng răng vào máng tẩy theo liều lượng bác sĩ đã chỉ định và đeo lên răng. Nếu thuốc tràn ra ngoài, bạn nên sử dụng tăm bông để lau sạch.
Bước 4: Đeo máng tẩy trắng và giữ cả đêm hoặc sau 8 tiếng.
Bước 5: Tháo bỏ máng ra, vệ sinh lại thật sạch khoang miệng.
Bạn nên thực hiện đúng theo các bước được hướng dẫn để đạt hiệu quả tẩy trắng cao nhất
– Liều lượng thuốc tẩy tra vào máng vừa đủ. Nếu bạn không tuân thủ hướng dẫn về liều lượng thuốc tra vào máng là bao nhiêu thì nguy cơ bị bỏng nướu do sử dụng nhiều thuốc tẩy trắng là rất cao. Mỗi đêm, trước khi tẩy trắng bạn nên vệ sinh răng miệng sạch sẽ.
– Thuốc tẩy trắng cần được bảo quản trong ngăn mát của tủ lạnh khi không sử dụng.
– Không được ăn thực phẩm hoặc uống các thức uống tạo màu.
Phương pháp tẩy trắng răng tại nhà bằng máng tẩy trắng khá đơn giản. Nhưng hãy nhớ tiến hành đúng theo hướng dẫn và theo dõi của bác sĩ để mang lại hiêu quả tốt nhất. Không nên tự ý mua những thuốc tẩy trắng răng không rõ nguồn gốc, xuất xứ để tránh những hậu quả đáng tiếc có thể xảy ra. Chúc bạn sớm sở hữu hàm răng trắng như mong muốn.